-
Qualité de vie - Santé - Aliments
NEUROSPIN / Imagerie in vivo préclinique, ex vivo et in vitro, IRM 17.2T
Plateforme technologique
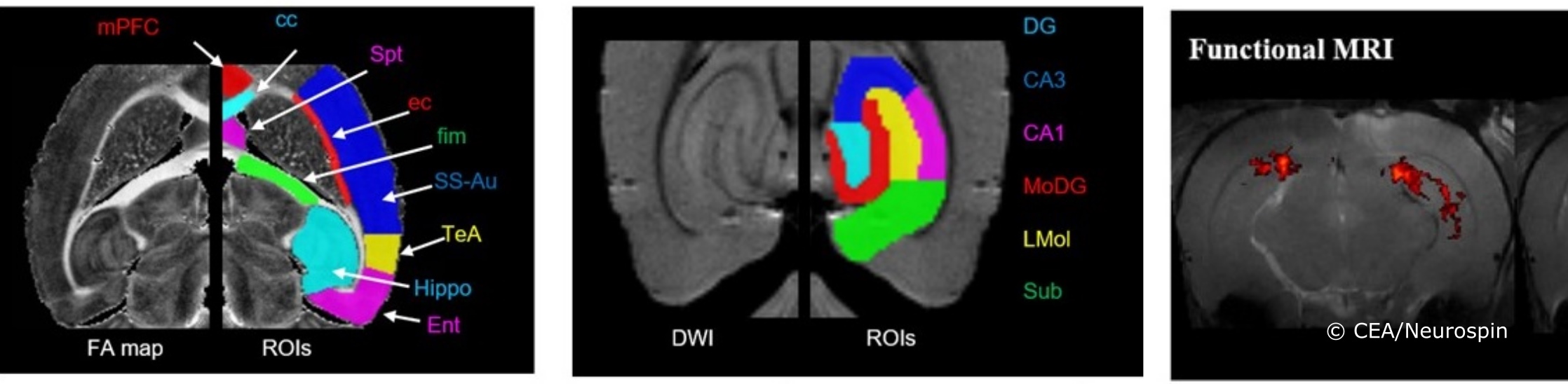
NeuroSpin dispose d’un imageur 17,2 Tesla de la société Bruker BioSpin. L'IRM 17,2 T est le système d’imagerie préclinique horizontal le plus puissant au monde. L’espace disponible à l’intérieur des gradients (85 mm) permet l’imagerie de petits animaux (souris, rats). En dehors d’un ultra-haut champ magnétique, une autre particularité de ce système est que son gradient de champ magnétique est capable de produire 1000 mT/m (approximativement 15 fois plus puissant que ce qu’il est possible de faire avec des scanners cliniques). Grâce à ce système, nous sommes capables d’acquérir des images avec une résolution isotrope de 25 µm. Nous disposons d’une variété d’antennes radiofréquences adaptées à des applications spécifiques : antennes de surface et antennes volumique pour les cerveaux de rats et de souris et des micro-antennes d’un diamètre allant de 700 µm à 2 mm pour les échantillons et enfin des antennes de surface à noyau-X (13C, 31P) pour la spectroscopie.
Thématiques d'innovation
CEA/DRF/JOLIOT, CEA Paris-Saclay, NEUROSPIN
91191 GIF-SUR-YVETTE
Mots clés
- gestion de protocole de recherche préclinique
- IRM 17.2T
- acquisition de données d'imagerie
- cerveau
- organes
- tissus
- imagerie de pièces anatomiques
- modèle aplysie
- séquences IRM anatomique
- IRM de diffusion
- spectroscopie RMN
- IRM fonctionnelle
- IRM pharmacologique
- résolution isotropique jusqu'à 25 µm analyse et traitement de données d'imagerie
Equipements spécifiques
| Nom | Modèle | Marque |
|---|---|---|
| Scanner IRM préclinique 17T | 17.2 T horizontal bore MRI scanner | BioSpec, Bruker BioSpin |
Offres de formations
Département(s) de recherche
- SDV (Sciences de la vie)
Labellisations
- IBISA